Coronavirus could cause permanent brain damage
- By Web Desk -
- Apr 03, 2020

Some coronavirus patients may suffer brain damage as a result of the devastating infection, doctors around the world are warning.
One Florida patient in his 70s lost the ability to speak at least temporarily, The New York Times reported.
Read More: Global virus cases top a million, deaths surpass 50,000
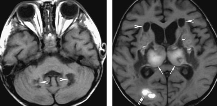
Brain scans of a woman in her 50s taken in Detroit revealed that some of her brain cells had died as a result of a rare complication of the infection.
Similar attacks on the central nervous system have been seen in Italy and China, the complication is being seen as devastating as severe lung disease.
While neurological complications so far seem to strike a small subset of the more than 700,000 people who have the virus around the world, the reports paint a worrying picture of its potential for long-term effects.
A 58-year-old airline worker, checked into a Henry Ford Health System in Detroit, she already had not only the typical cough and fever seen in coronavirus patients, but was confused, disoriented and lethargic. Doctors there ran a sweeping panel of diagnostic tests on the woman, including screens for the chickenpox virus and West Nile virus.
Read More: As coronavirus cases rise, Japan urges hospital beds be saved for severely ill
They drew a sample of her cerebrospinal fluid too, to check for signs that a bacterial infection was attacking her central nervous system.
Everything came back negative.
But her tell-tale signs of fever and cough had pointed to the correct diagnosis. The woman tested positive for COVID-19.
Neurological symptoms are not considered typical of coronavirus, so the doctors also performed a CT scan of her brain.
Read More: Global polio eradication campaigns suspended – first time in 30 years
Dark spots on the resulting can indicate that parts of her brain are less dense than they should appear in a healthy brain.
That told the woman’s doctors that either fluid had built up in these regions, or chunks of her brain cells had died off.
In particular, the woman’s thalamus showed damage. The thalamus sends sensory information from the far reaches of the body to the cerebral cortex, which processes those signals.
Further scans revealed the woman’s brain also had lesions, or brain bleeds, in her temporal lobes, which are involved consciousness and memory as well as sensation.
Read More: One Turkish doctor dies, over 600 health workers infected
Taken together, the scans confirmed the doctors’ suspicions.
The team had suspected encephalitis at the outset, but then back-to-back CCT and MRI scans made the diagnosis.
Encephalitis is a dangerous brain swelling condition that can come on as a result of any number of kinds of trauma, as well as severe infections.
Brain swelling may trigger seizures in these patients too, as was seen in the 74-year-old man with coronavirus in Boca Raton, Florida. He also suffered from chronic lung disease and Parkinson’s, but his loss of speech combined with the other symptoms tipped the man’s doctors off to the possibility of encephalitis.
Read More: Chinese scientists seeking potential COVID-19 treatment find ‘effective’ antibodies
Reports of this complication have only been sporadic in the US thus far, but Italy has seen enough cases for one hospital at the University of Brescia to create an entire ‘NeuroCovid’ unit to administer to patients who had pre-existing or developed neurological conditions.
Chinese researchers were the first to report the brain complication in some coronavirus patients there.