Nurse warns parents after toddler accidentally swallows Christmas ornament
- By Web Desk -
- Dec 14, 2023

A nurse warned the parents about the risks associated with a non-child-proof Christmas tree following a toddler accidentally ingested an ornament from the Christmas tree.
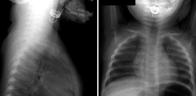
An Australian pediatric nurse Sarah Hunstead, owner of the children’s safety page called CPR Kids, on her social media platform, posted some horrifying X-rays of the festive ornament that was stuck in the child’s throat.
On her Facebook page, Hunstead wrote that “Christmas is an exciting time, but it can bring some specific holiday season hazards. This unbelievable image shows a part of a Christmas bauble swallowed by a toddler”.
“Thankfully, there was just enough air space for the little one to breathe until it was removed, while It’s easy to forget baby-proofing the temporary seasonal additions around the home, even if you are usually on top of proofing all the things,” she added.
Intending to share awareness about the little-known choking hazard – after a mum named Casey sent the confronting X-ray to her in the hope of preventing other parents from going through the same ordeal.
One mother said, “This is what I was worried about.”
“Yep, I’ve taken all my baubles off my tree after seeing my daughter fit the whole thing in her mouth,” another person commented. Thank you; that’s enough to frighten me.